根管治療

HOME | 診療内容 | 根管治療

根管治療で悩まれている方へ

根管治療がうまく行かず相談に来られる原因には、感染のコントロールをきちんとしていない状態で、強い薬を過度に使って生体組織をかえって痛めつけて、痛みを引き起こしている場合が多くあります。

マイクロスコープ

マイクロスコープについて

人の眼の分解能の限界は100ミクロン程度となり、口の中を見るには厳しいため、これを補うために光源付き10~20倍といった高倍率の実体顕微鏡が開発されました。

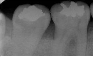
原因歯の特定

マイクロスコープによる原因歯の特定

問診・視診・打診・温度診・レントゲンなどの検査を行っても原因が特定できない場合でも、マイクロスコープで検査を行うことで何が原因になっているか特定できる症例はたくさんあります。

患者様の話を聴く

患者様の話を聴く重要性

当院では患者様の話を聴くことに重点をおいております。
痛みが取れず困って来院され、話をしっかり聴くことで解決に至った症例をご紹介しております。

患長引く根管治療

長引く根管治療の原因

根管治療の成功は、毎回の正確な感染のコントロールと根管の無菌化・確実な仮封・臨床症状の消失が得られているかどうかにかかっています。

根管治療後の痛みの原因

根管治療後の痛みの原因

根管治療後の痛みの原因は、実は治療している歯でない場合や不適切な根管治療によって起こる場合、急性の歯髄炎によるものや急性根尖性歯周炎によるものなど様々です。

残せる歯、残せない歯

根管治療で残せる歯、残せない歯

抜歯を勧められた場合でも、実は根管治療時の感染のコントロールが不十分なことが原因で治っていないケースが結構あり、そのような場合は根管治療で残すことが出来ます。

根管治療Q&A

根管治療Q&A

根管治療に関してよくいただくご質問にお答えしています。掲載項目以外にご質問がある場合は、お問い合わせください。

外科的根管治療

外科的根管治療

通常の根管治療だけで治癒しない場合には、外科的治療を行うことがあります。

 

診察時間のご案内

 

診察時間
10:00-13:00 × ×
14:00-18:00 × ×

※予約・変更は診療時間内にお電話でお願いします。

 

休診日 木・日・祝
午前 10:00~13:00・ 午後 14:00~18:00

 

HOME | 診療内容 | 根管治療